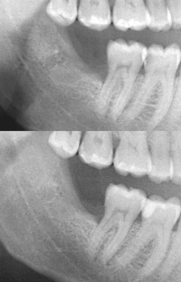
Figure 3

(a) An immediate postoperative dental panoramic tomography was obtained to be considered as a baseline image for this case study. (b) Radiographic image, obtained 50 days postoperatively showing enhancement of radiopacity in the third molar socket area.